Dentascan 3D Madrid
En la Clínica Radiológica Doctor Mayor realizamos la prueba diagnóstica en tres dimensiones también conocida como CBCT o TAC 3D
El sector de la salud dental ha evolucionado de forma muy progresiva y significativa, sobre todo gracias a los nuevos medios técnicos que han ido apareciendo en los últimos años.
En la Clínica Radiológica Doctor Mayor no hemos permanecido ajenos a estos cambios y, por eso, hemos implementado la prueba diagnóstica Dentascan 3D en Madrid, una prueba muy útil para el correcto diagnóstico de los pacientes.
Imágenes en tres dimensiones de los tejidos óseos y tejidos blandos
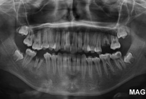
Se trata de un escáner intraoral que obtiene imágenes en tres dimensiones de la mandíbula y cada una de las piezas dentales y huesos.
Las imágenes que se obtienen, mediante cortes y rayos X, nos permiten hacernos una idea muy clara de la situación de las piezas dentarias, sus características, su estado y las características de los tejidos blandos que las rodean.
La prueba Dentascan 3D es muy útil para prácticamente cualquier tratamiento, sobre todo en implantología, ortodoncia y reconstrucción maxilofacial.
Si quieres realizarte una prueba de TAC Dental en Madrid, nosotros te atenderemos en cualquiera de nuestras clínicas dentales.
VENTAJAS DE DENTASCAN 3D
Permite conocer con precisión la estructura ósea y de tejidos blancos de toda la boca y mandíbula.
Permite ver diferentes puntos de vista de una misma pieza dentaria, fundamental para decidir qué tratamiento es el más adecuado.
Es una prueba mínimamente invasiva, con apenas radiación.
Los resultados se obtienen prácticamente al momento y se pueden almacenar en la ficha del cliente para consultarlos en cualquier momento.
CARACTERÍSTICAS DEL ESTUDIO EN 3D
DEs una prueba diagnóstica imprescindible para realizar el diagnóstico de algunas dolencias.
La precisión de esta prueba permite observar las estructuras dentales y maxilares en tres dimensiones, lo que facilita el diagnóstico y tratamiento
La radiografía Dentascan 3D permite ver, al detalle, cualquier estructura gracias a su procedimiento computarizado que une imágenes tridimensionales.
Esta prueba diagnóstica se utiliza en tratamientos dentales complejos.
En la Clínica Radiológica Doctor Mayor utilizamos esta técnica para facilitar el diagnóstico y tratamiento de diferentes dolencias maxilofaciales. Se trata de un procedimiento muy útil en los siguientes tratamientos:
- Ortodoncia. Se puede ver la evolución que va teniendo el paciente y comprobar que las piezas dentales se sitúan donde corresponde.
- Cirugía dental. Es fundamental para conocer el estado de la raíz y los tejidos blandos antes de iniciar la cirugía.
- Implantología. Con esta prueba conoceremos mejor la estructura ósea del paciente y asegurar así el éxito con la colocación del implante.
- Otros tratamientos. Puede ser un elemento útil en tratamientos de endodoncia, periodoncia o bruxismo, entre otros.
RADIOLOGÍA MAXILOFACIAL DR. MAYOR
Calle Príncipe de Vergara, 223Madrid, 28016, Madrid
madrididbmayor.commadrididbmayor.com
RADIOLOGÍA MAXILOFACIAL DR. MAYOR
Calle Hermanos Pinzón, 2Móstoles, 28937, Madrid
mostolesidbmayor.commostolesidbmayor.com












