Centro de diagnóstico bucofacial
En nuestro centro utilizamos la tecnología dental más avanzada al servicio de nuestros clientes en Madrid
En el Centro Imagen Diagnóstica Dental Dr. Mayor ofrecemos a nuestros clientes los últimos avances tecnológicos en todo lo relacionado con la imagen radiológica dental y el diagnóstico maxilofacial y dental. Además, disponemos de los mejores equipos para el almacenamiento de todas las imágenes, que nos permiten su consulta en cualquier momento.
¿A qué se dedica nuestro centro de diagnóstico bucofacial?
Nuestro centro de diagnóstico bucofacial trabaja día a día con un objetivo muy definido: facilitar a los profesionales dentales las mejores imágenes bucales y orales que permitan el correcto estudio y tratamiento de cada uno de sus pacientes.
Dicho de una forma más coloquial, nos encargamos de hacer todas las radiografías existentes en el sector, que posteriormente se usarán para que el dentista realice el diagnóstico y proponga un tratamiento personalizado a su paciente.
Son muchos los servicios de radiología y métodos de captura de imágenes que utilizamos en nuestro centro. En el Centro Imagen Diagnóstica Dental Dr. Mayor nos dedicamos en exclusiva a la realización de estudios maxilofaciales, por lo que nos hemos convertido en un lugar de referencia al que acuden muchos profesionales del sector.
Pruebas diagnósticas maxilofaciales con los sistemas más avanzados del momento
Si quieres saber un poco más acerca de nuestras pruebas diagnósticas, aquí te resumimos en qué consisten algunas de ellas. Si deseas que te demos más información sobre nuestros servicios o quieres consultarnos cualquier duda, te puedes poner en contacto con nosotros a través de cualquiera de los medios que te proporcionamos en esta página web.
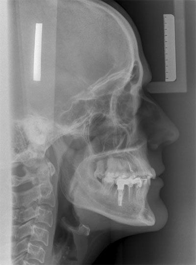
TELERRADIOGRAFÍA LATERAL DE CRÁNEO
Es una prueba diagnóstica donde se estudia el crecimiento facial del paciente en un tratamiento de ortodoncia. Este tipo de pruebas radiológicas conocidas también como cefalometrías son muy útiles en el estudio de ortodoncia, ya que con ellas es posible medir los ángulos y proporciones de los huesos de la cara del paciente y así conocer la relación entre sus estructuras faciales.
CEFALOMETRÍA ONLINE
Es una técnica diagnóstica de gran utilidad en el campo de la odontología en general y en los tratamientos de ortodoncia en particular. Permite obtener una imagen y medidas concretas del cráneo del paciente a partir de radiografías tomadas desde diferentes ángulos. Se realiza una composición en tres dimensiones de la estructura ósea y se establecen los puntos anatómicos más significativos.
RADIOLOGÍA MAXILOFACIAL DR. MAYOR
Calle Príncipe de Vergara, 223Madrid, 28016, Madrid
madrididbmayor.commadrididbmayor.com
RADIOLOGÍA MAXILOFACIAL DR. MAYOR
Calle Hermanos Pinzón, 2Móstoles, 28937, Madrid
mostolesidbmayor.commostolesidbmayor.com












