Este sitio web utiliza cookies propias y de terceros que permiten mejorar la usabilidad de navegación, analizar el uso de la web y mostrar publicidad relacionada con tus preferencias sobre la base de un perfil elaborado a partir de tus hábitos de navegación (por ejemplo, páginas visitadas). Política de cookies.
Si está buscando un centro de referencia, especializado en la realización de radiologías maxilofaciales, el centro Imagen Diagnóstica Dental Dr. Mayor es el sitio perfecto.
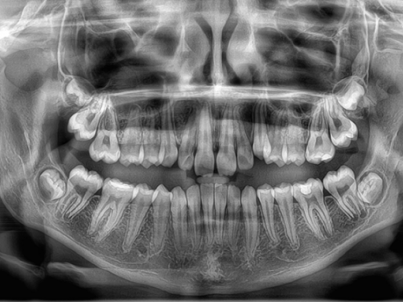
En el centro de Radiologia Maxilo Facial Dr. Mayor nos hemos mantenido a la vanguardia en el sector y por eso somos uno de los centros de referencia a nivel nacional en la realización de estudios maxilofaciales. Además, podemos decir que somos uno de los primeros centros que incorporó la tecnología 3D a sus instalaciones, lo que nos permite hacer estudios muy avanzados y completos, como los TAC dentales (Dentascan, Cone Beam CT) dirigidos a todo tipo de pacientes.
En los centros de Imagen Diagnóstica Dental Dr. Mayor ofrecemos una amplia variedad de servicios, gracias a la moderna aparatología con las que contamos.
Las pruebas diagnósticas que realizamos en nuestro centro son las siguientes:
“Mis hijas han venido siempre a está consulta por recomendación de su dentista y siempre han salido contentas. Las personas que las atienden dentro tienen que ser muy amables para tratar con niños y que salgan así. Totalmente recomendable.”
Ana C.
Opinión en Google
“Estuve en el día de ayer en este centro a que me realizaran una panorámica y tanto la atención del personal de recepción como el técnico me trataron de manera excelente. Cumplieron con el horario de mi cita y la prueba se la enviaron a mi dentista en el acto, por lo que la recomiendo al 100%.”
Emilio Leon
Opinión en Google
“Excelente trato, servicio, rapidez y sobre todo, profesionalidad. Recomendable al 100%. El cariño con el que te tratan y más aun con los niños, es algo que no se encuentra todos los días.”
Karin López
Opinión en Google
“Excelente centro de radiodiagnóstico con grandes profesionales. Como especialista en Ortodoncia quiero destacar los estudios previos al inicio del tratamiento: fotografías extra e intraorales, radiografías, cefalometrías,etc. Los pacientes me comentan el magnífico trato recibido y la puntualidad.”
Lilianne Cruz
Opinión en Google
RADIOLOGÍA MAXILOFACIAL DR. MAYOR
Calle Príncipe de Vergara, 223 Madrid, 28016, Madrid
Mediante este panel de configuración de Cookies, podrás conocer con qué finalidad se utilizan las cookies. Dispones también de la posibilidad de configurarlas para aceptar o rechazar de forma total o parcial su utilización y además, obtendrás información adicional para conocer información completa sobre su significado, configuración, finalidades y derechos... [leer más]
Este Sitio Web utiliza cookies propias y de terceras entidades, con la finalidad de brindarte una experiencia de navegación satisfactoria, realizar métricas y estadísticas, así como acciones de marketing. Si no estás de acuerdo con alguna de las finalidades, puedes personalizar las opciones desde esta política. [leer menos]
Cómo usuario, permito la utilización e instalación de las cookies con las siguientes finalidades:
Cookies Técnicas
Siempre habilitado
Se trata de Cookies propias con una finalidad exclusivamente técnica, que no recaban, ni ceden ningún dato de carácter personal del usuario sin su consentimiento y no se utilizan para recoger información, ni registra las direcciones IP de acceso, ni comportamiento de navegación. Se trata de unas cookies necesarias e imprescindibles, que tienen la finalidad de poder ofrecer el servicio al usuario de este sitio web, con el objetivo de facilitar su utilización con una finalidad técnica, para permitir la navegación a través del sitio web y la utilización de las diferentes opciones y servicios que en ella existen, como por ejemplo la propia gestión de las cookies.
Cookies de preferencias
Se trata de cookies que permiten personalizar las funciones o contenidos del sitio web en función de los datos obtenidos del navegador, como por ejemplo, el idioma. La no utilización de estas cookies, impedirá almacenar datos de preferencias para futuras visitas, pudiendo hacer que la experiencia del sitio web sea menos funcional o satisfactoria, pero no afectará a su funcionamiento.
Cookies de estadísticas
Con la finalidad de ofrecer el mejor servicio al usuario y al objeto de facilitar la utilización del sitio web, se analizan el número de páginas visitadas, el número de visitas, así como la actividad de los visitantes y su frecuencia de utilización. A estos efectos se elaborará información estadística anónima, elaborada con el objetivo de analizar la actividad de los usuarios dentro del sitio web, medir el tráfico y el rendimiento de la web, obtener mediciones y ofrecer unas mejores prestaciones futuras.
Cookies de marketing
Permiten ofrecer al usuario contenidos y publicidad apropiada en los sitios web y plataformas sociales en función de sus gustos y preferencias de navegación, pudiendo crear un perfil sobre usted y sus intereses, con el objetivo de mostrarle contenido personalizado.
Además, este sitio web puede disponer de enlaces a sitios web de terceros, cuyas políticas de privacidad, políticas de cookies y textos legales, son ajenos al titular del presente sitio web. Al acceder a dichos sitios web mediante los mencionados enlaces, el usuario es libre de decidir si acepta o rechaza los mencionados apartados.