Cefalometría online
En la Clínica Radiológica Dr. Mayor contamos con amplia experiencia para la realización de pruebas de cefalometría online
 
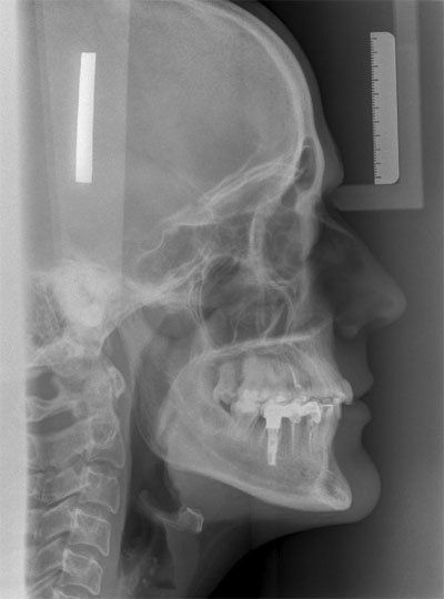
                La cefalometría es una técnica diagnóstica de gran utilidad en el campo de la odontología en general y en los tratamientos de ortodoncia en particular. Permite obtener una imagen y medidas concretas del cráneo del paciente a partir de radiografías tomadas desde diferentes ángulos.
Se realiza una composición en tres dimensiones de la estructura ósea y se establecen los puntos anatómicos más significativos, como por ejemplo los huesos, las piezas dentales y los músculos faciales, entre otros.
En la Clínica Radiológica Dr. Mayor ofrecemos un servicio profesional de cefalometría online, que consiste en la evaluación y medición de la estructura ósea del paciente, lo que sirve de gran ayuda para la realización de los diagnósticos en tratamientos de ortodoncia.
Se trata de un servicio que está disponible para profesionales del sector, es decir clínicas dentales que necesitan completar el historial del paciente con unas pruebas más específicas.
¿En qué consiste el servicio de cefalometría online?
Nuestro trabajo consiste en la realización de diferentes trazados de teleradiografías a través de una serie de imágenes que hemos recibido por parte de nuestro cliente vía telemática o en formato físico. En nuestro centro juntamos todas las imágenes y hacemos una composición en tres dimensiones que permite conocer las medidas exactas de la estructura ósea del paciente y el correspondiente diagnóstico.
Nuestro trabajo ayuda a los dentistas y profesionales de la salud bucodental a realizar un diagnóstico mucho más completo y preciso, que se traduce en un mayor éxito en los tratamientos que desarrolle.
Normalmente este tipo de pruebas se suelen utilizar en tratamientos de ortodoncia (tanto en adultos como en niños) aunque también son una buena ayuda para otra serie de diagnósticos.
Las pruebas diagnósticas más eficaces para dentistas
En la Clínica Radiológica Dr. Mayor trabajamos al servicio de las clínicas dentales de la zona. Nuestros servicios son tan amplios como nuestra experiencia en el sector. En nuestro centro realizamos diagnósticos bucofaciales completos, radiologías con la tecnología Dentascan 3D, radiografías panorámicas dentales y teleradiografías, entre otros servicios.
Para ello contamos con los mejores equipos técnicos, el software específico más completo y personal que cuenta con amplia experiencia en el sector y con extensos conocimientos de la materia.
Si tienes alguna duda sobre nuestro servicio de cefalometría online o cualquier otro servicio de nuestros centros de Madrid y Móstoles, ponte en contacto con nosotros a través de cualquiera de los medios que te proporcionamos en nuestra página web.
RADIOLOGÍA MAXILOFACIAL DR. MAYOR
Calle Príncipe de Vergara, 223Madrid, 28016, Madrid
madrididbmayor.commadrididbmayor.com
RADIOLOGÍA MAXILOFACIAL DR. MAYOR
Calle Hermanos Pinzón, 2Móstoles, 28937, Madrid
mostolesidbmayor.commostolesidbmayor.com
 
                                











